ODONTOLOGIA

Prof.ª Dra. Ana Paula Sponchiado - Logo

Transformando Sorrisos

Tecnologia de ponta • Cuidado personalizado • Resultados excepcionais

20+ Anos

de experiência

1000+

pacientes atendidos

Técnicas

avançadas

Nossos Serviços

LIMPEZAS Dentárias

Limpezas dentárias feitas de maneira automatizada com aparelho de ultrassom para remoção do tártaro e jato de bicarbonato de sódio para remoção da placa e das manchas superficiais. Finalizando com aplicação de flúor para ajudar a combater as cáries.

CLAREAMENTOS Dentais

Clareamentos dentais que podem ser realizados tanto no consultório odontológico quanto em casa. Ou com as duas técnicas associadas!

PRÓTESES Dentárias

Pontes móveis, pontes fixas, coroas e dentaduras.

CIRURGIAS Orais Menores

Extrações em geral inclusive dos dentes do siso. Cirurgias gengivais. Enxertos ósseos.

LENTES e Facetas Dentais

Lentes e facetas tanto em resina quanto em porcelana para correção de formato e cor dos dentes.

IMPLANTES dentários

Implantes são substitutos das raízes dos dentes naturais que foram extraídos. Só utilizamos implantes e componentes NEODENT.

Observações Importantes

Idade Mínima

Atendimento a partir de 12 anos

Convênios

Não atendemos convênios

Casos Clínicos

Antes - Facetas dentárias
Depois - Facetas dentárias

Inicial

Final

Facetas de Porcelana

Antes - Facetas dentárias caso 2
Depois - Facetas dentárias caso 2

Inicial

Final

Facetas de Porcelana

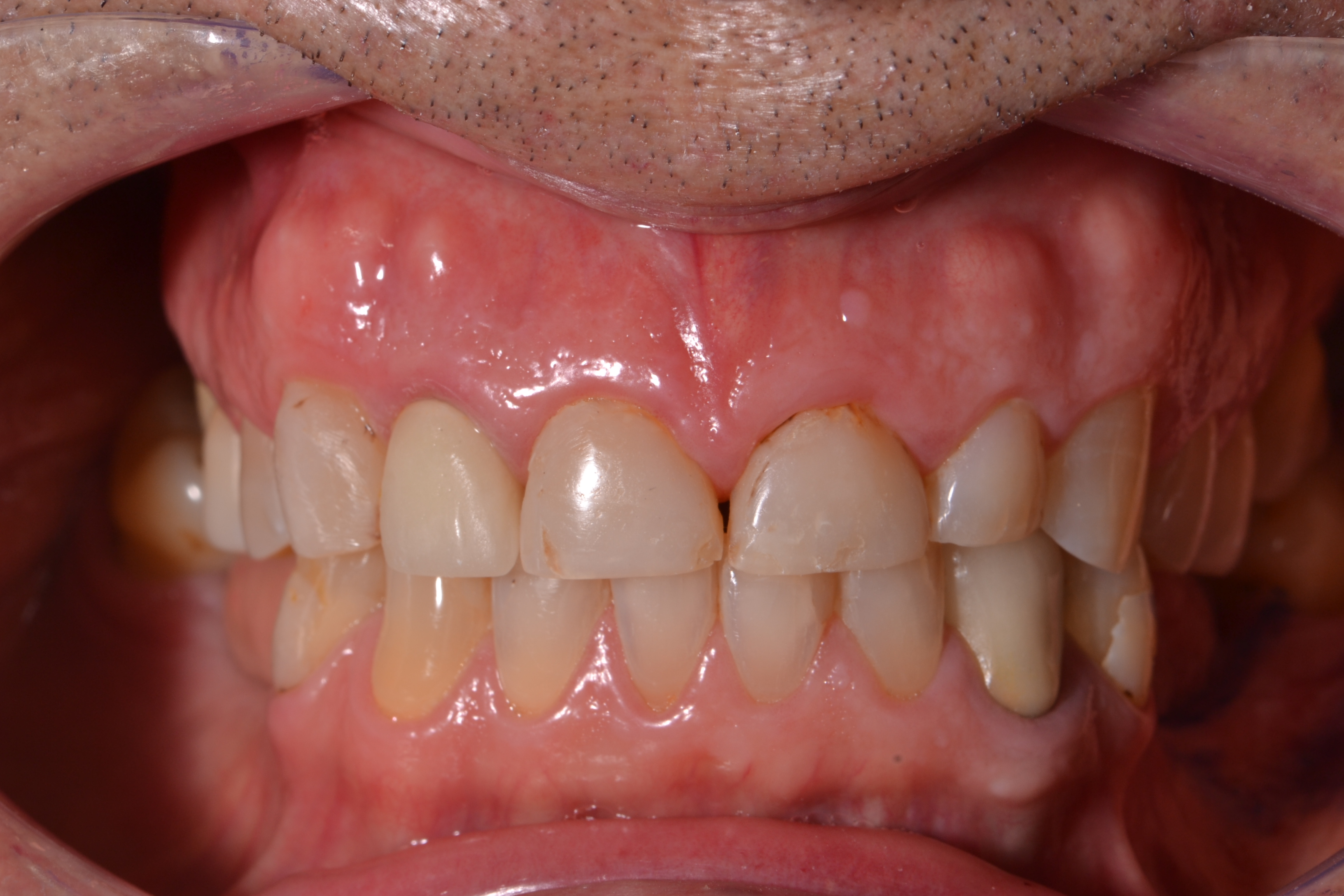
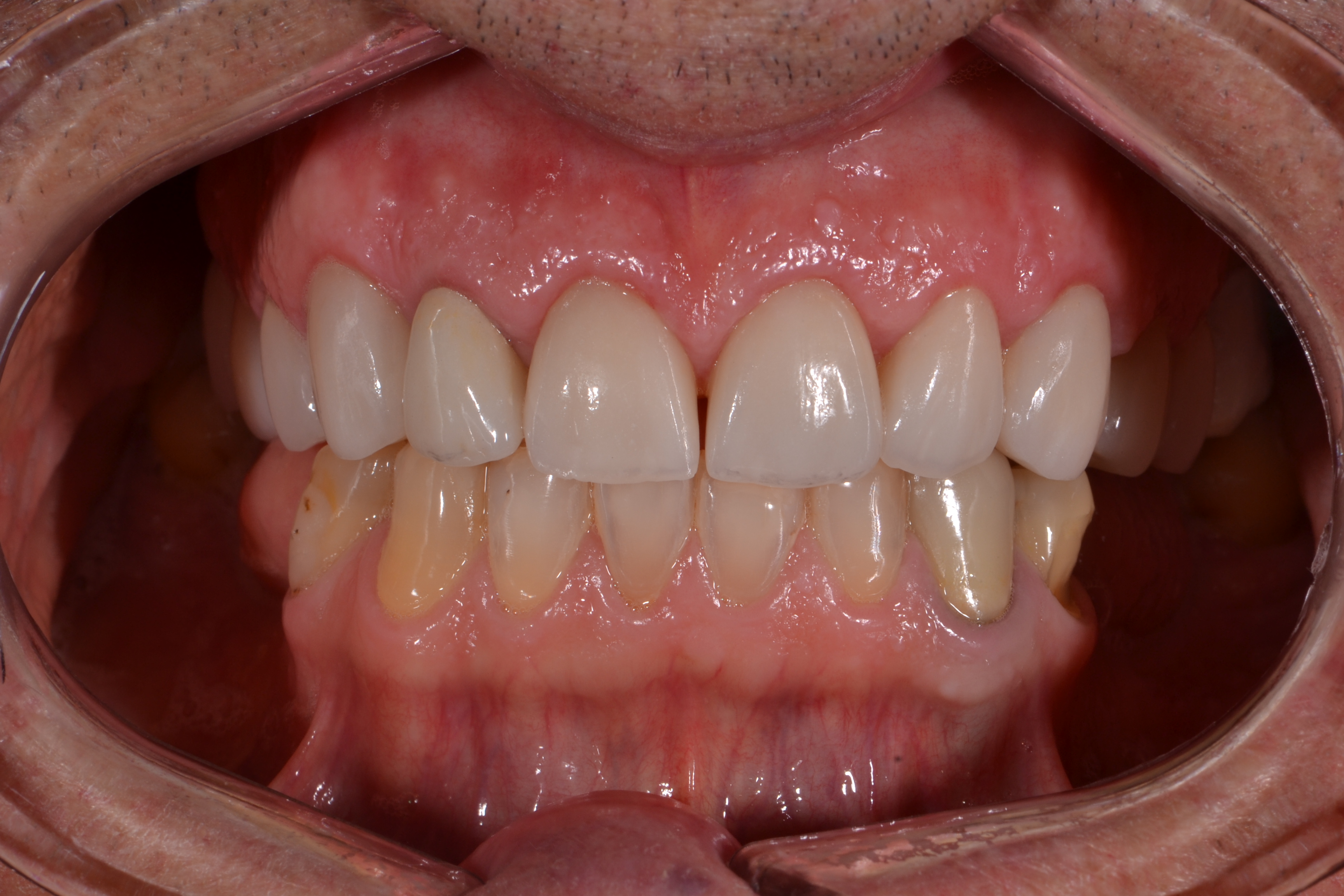
Antes - Facetas dentárias caso 3
Depois - Facetas dentárias caso 3

Inicial

Final

Facetas de Porcelana

Antes - Facetas e Lentes em resina composta
Depois - Facetas e Lentes em resina composta

Inicial

Final

Facetas e Lentes em resina composta

Nossa Estrutura

Estrutura da clínica - Consultório
Estrutura da clínica - Sala de atendimento
Estrutura da clínica - Ambiente de tratamento
Estrutura da clínica - Equipamentos modernos
Estrutura da clínica - Área de espera
Estrutura da clínica - Tecnologia avançada
Estrutura da clínica - Conforto e qualidade
Estrutura da clínica - Ambiente profissional

Quem Sou

Sou cirurgiã-dentista formada pela UFPR em 2005.

Atuo no meu consultório desde formada, assim tenho experiência clínica de 20 anos.

Minhas áreas de especialidade são:

  • PRÓTESE dentária - pontes fixas, pontes móveis e dentaduras.
  • IMPLANTES dentários
  • CIRURGIAS orais menores (como extrações e enxertos ósseos)
  • DENTÍSTICA - clareamentos, facetas e lentes

Também sou PROFESSORA de curso de pós-graduação em Odontologia na área de Prótese.

Prof.ª Dra. Ana Paula Sponchiado - Cirurgiã-dentista

Dúvidas Frequentes

Qual a diferença entre uma LENTE de contato dental e uma FACETA dental?

Ambas são estruturas feitas para recobrir a face visível dos dentes. A diferença entre elas está apenas na espessura. As lentes costumam ser bem finas, aproximadamente 0,5mm e são indicadas para pequenas correções de formato e cor. Já as facetas são mais espessas, variando de 0,5 mm a 2 mm e são indicadas para fazer correções maiores de formato, cor e posicionamento. Geralmente são indicadas para pacientes que já possuam restaurações e mau posicionamento dos dentes anteriores.

Qual a diferença entre fazer uma lente/faceta em RESINA COMPOSTA e em PORCELANA?

O tratamento em RESINA COMPOSTA é uma opção mais econômica, rápida e geralmente requer menos desgaste do dente do paciente para ser feita. O tratamento todo é feito pelo próprio dentista em consultório. Porém, ela tem o inconveniente de ser menos duradoura e requerer mais manutenções, pois pode manchar e lascar com a alimentação.

Já as lentes/facetas em PORCELANA possuem um investimento financeiro mais elevado, bem como um tempo maior de tratamento, pois elas são confeccionadas em laboratórios de prótese odontológica. O desgaste dental necessário também é um pouco maior. Porém a durabilidade do tratamento é muito maior, pois se trata de um material muito mais resistente que não mancha e dificilmente apresenta lascas/fraturas.

Qual é o melhor tratamento para um paciente se libertar das DENTADURAS?

Sem sombra de dúvidas é a confecção de PRÓTESES TIPO PROTOCOLO SOBRE IMPLANTES.

Para os pacientes que tem dentadura na arcada superior, geralmente é necessária a instalação de 4 a 6 implantes na estrutura óssea do paciente em um procedimento cirúrgico. Posteriormente a cicatrização gengival e óssea é instalada uma prótese parafusada sobre esses implantes com a vantagem de deixar livre o céu da boca para o paciente voltar a sentir o gosto e a temperatura dos alimentos.

Já na arcada inferior, geralmente é necessária a instalação de apenas 4 implantes e posteriormente a cicatrização, instalasse uma prótese parecida com uma dentadura, porém e parafusada. Assim, aumenta muito a qualidade de vida do paciente, pois comumente que usa dentadura inferior reclama que ela não pára e vive machucando.

Entre em Contato

Informações de Contato

Endereço:

Rua Leon Nicolas, 56 Sala 06
Capão Raso
Curitiba-PR - CEP 81.150-140

*Centro comercial na frente do estacionamento descoberto do supermercado CONDOR do Pinheirinho

**Com ESTACIONAMENTO gratuito nos fundos do centro comercial

Telefones

(41) 3247-8736 | (41) 99659-0556

Horário de Atendimento

Segunda a sexta das 13h30 às 19h00

Agendar pelo WhatsApp

Localização